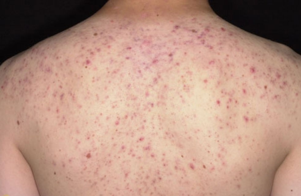
Bí quyết trị mụn lưng hiệu quả tại nhà
Nếu tình trạng mụn lưng đang làm phiền bạn khiến bạn khó chịu và mất tự tin thì đừng ngần ngại tìm ra cho mình phương pháp điều trị chúng thật an toàn và đơn giản. Bài viết này sẽ bật mí cho bạn bí quyết để khắc phục vấn đề này.
Bí quyết trị mụn lưng hiệu quả tại nhà
Ngoài xuất hiện ở trên mặt, mụn còn có thể nổi nhiều ở khu vực lưng tạo nên “nổi ám ảnh” khiến các chị em mất đi vẻ tự tin khi diện những loại trang phục khoe lưng. Vậy làm sao để khắc phục tình trạng này? Bài viết này sẽ giúp bạn đi tìm câu trả lời.
Nguyên nhân dẫn đến tình trạng mụn lưng
1. Do liên tục mặc đồ bó sát vào cơ thể
Những loại quần áo bó sát, ôm chặt vào cơ thể hoặc quần áo quá chật chính là một trong những nguyên nhân quan trọng dẫn đến mụn lưng. Các loại đồ bơi lặn, quần áo tập thể hình thường khá ôm sát vào cơ thể sẽ làm lưng bị nóng và đổ mồ hôi nhiều hơn gây bí tắc lỗ chân lông. Mặt khác nếu bạn không liên tục tắm rửa và vệ sinh sạch sẽ vùng lưng sẽ làm gia tăng khả năng nổi mụn lưng.
2. Do dầu gội đầu
Khi dầu gội đầu bám vào vùng lưng sẽ tạo ra chất dầu dẫn gây bí tắc các lỗ chân lông trên da. Từ đó sẽ dẫn đến tình trạng hình thành và phát triển mụn trên lưng. Vì vậy, khi gội đầu, bạn nên hạn chế việc để dầu gội dính vào lưng để ngăn chặn nguy cơ nổi mụn ở lưng.
3. Do ảnh hưởng bởi chế độ ăn uống
Một trong số những nguyên nhân dẫn đến tình trạng mụn lưng chính là chế độ ăn uống. Khi bạn ăn quá nhiều thực phẩm ngọt, chứa nhiều tinh bột, dầu mỡ hoặc cay nóng sẽ khiến cơ thể dễ nổi mụn hơn. Đồng thời, nếu bạn uống quá ít nước sẽ làm cơ thể thiếu nước và thiếu độ ẩm trầm trọng. Lúc này, cơ thể sẽ tiết nhiều chất nhờn hơn khiến các lỗ chân lông bị bí tắc khiến mụn lưng hình thành.
4. Không vệ sinh sạch sẽ khi cơ thể ra mồ hôi
Việc tập thể dục thể thao, tập Gym sẽ khiến cơ thể vận động nhiều hơn làm cơ thể tiết ra nhiều mồ hôi. Đặc biệt ở vùng lưng và ngực, mồ hôi lại được tiết ra nhiều hơn. Nếu bạn không tắm rửa và vệ sinh sạch sẽ chúng sau mỗi lần tập luyện sẽ làm bí tắc lỗ chân lông, tạo điều kiện cho các chất bẩn và vi khuẩn bám vào lưng dẫn đến tình trạng mụn lưng.
5. Liên tục chịu stress
Khi bạn liên tục chịu stress sẽ ảnh hưởng trực tiếp đến cơ thể làm thay đổi và làm mất cân bằng nội tiết tố trong cơ thể. Tình trạng rối loạn hormone cũng đồng nghĩa với việc hoạt động mạnh mẽ của tuyến bã nhờn. Tuyến bã nhờn trên vùng lưng sẽ tiết ra chất nhờn nhiều hơn dẫn đến sự hình thành và phát triển của mụn lưng.
Cách trị mụn lưng hiệu quả tại nhà
1. Sử dụng muối biển
Muối chính là một gia vị không thể thiếu của mọi nhà đồng thời nó cũng chính là một trong những sản phẩm điều trị mụn lưng hiệu quả được nhiều người sử dụng. Đây chính là sản phẩm khá dễ tìm, dễ mua và khá rẻ. Trong muối chứa khá nhiều vitamin A, E và khoáng chất tốt cho da. Ngoài ra, nó còn được sử dụng để khử trùng, sát khuẩn vùng lưng bị mụn, kiểm soát lượng dầu, bã nhờn tiết ra trên da, làm sạch và cân bằng màu sắc của làn da.
Cách thực hiện:
- Tắm sạch sơ cơ thể bằng nước mát để loại bỏ đi mồ hôi và chất nhờn trên da.
- Lấy một ít muối biển cho ra tay và dùng chúng chà xát lên da. Tuy nhiên bạn nên thực hiện với thao tác nhẹ nhàng để tránh tình trạng làm da tổn thương khiến các mụn lây lan.
- Massage nhẹ nhàng vùng lưng trong khoảng 10 phút sau đó rửa lại bằng nước ấm.
- Thực hiện liên tục 2 ngày/lần để nhanh chóng đạt hiệu quả cao.
2. Sử dụng chanh
Theo nghiên cứu, trong chanh chứa khá nhiều chất chống oxy hóa cho da. Nó có tác dụng khử trùng, kháng khuẩn khá cao đồng thời nó có tác dụng tẩy tế bào chết hiệu quả. Do đó, chanh là sản phẩm điều trị mụn lưng khá hiệu quả.
Cách thực hiện:
- Tắm thật sạch cơ thể bằng nước lạnh để loại bỏ đi các bã nhờn và chất bụi bẩn bám trên cơ thể.
- Pha hỗn hợp nước cốt 2 quả chanh tươi cùng 2 thìa mật ong và 1 thìa muối biển. Khuấy đều cho hỗn hợp này hòa vào nhau.
- Thoa hỗn hợp này lên vùng lưng và massage nhẹ nhàng từ 15 - 20 phút rồi tắm sạch bằng nước ấm.
- Thực hiện liên tục 3 lần/tuần để đạt được hiệu quả điều trị cao và nhanh chóng hơn.
3. Sử dụng lòng trắng trứng
Các chuyên gia đã chỉ ra, trong lòng trắng trứng có khá nhiều protein, collagen, vitamin A và B đem đến tác dụng khá tốt trên da. Nó giúp chữa lành các vết mụn lưng đồng thời ngăn chặn quá trình lão hóa nhanh của da và làm mờ vết thâm mụn lưng.
Cách thực hiện:
- Làm sạch vùng da lưng để loại bỏ đi những bã nhờn và vi khuẩn
- Trộn hỗn hợp lòng trắng 1 quả trứng gà, 1 thìa mật ong và 1/2 thìa nước cốt chanh và khuấy đều.
- Thoa hỗn hợp lên da và massage nhẹ nhàng từ 15 - 20 phút cho đến khi chúng khô cứng lại.
- Rửa sạch bằng nước ấm
- Thực hiện từ 2 - 3 lần/tuần để đạt được hiệu quả.
4. Sử dụng cà chua
Trong cà chua chứa khá nhiều vitamin C, vitamin A và thành phần hợp chất beta – carotene giúp làm sạch làn da và khắc phục các vấn đề thâm do mụn lưng. Ngoài ra nó có tính oxy cao nên sẽ giúp bạn tẩy tế bào chết một cách hiệu quả.
Cách thực hiện:
- Rửa sạch cà chua và cắt chúng làm đôi theo chiều ngang.
- Dùng cà chua chà nhẹ lên vùng lưng bị mụn từ 10 - 15 phút và massage nhẹ nhàng.
- Sau đó, bạn tắm lại thật sạch bằng nước lạnh.
- Thực hiện 2 lần/tuần để đạt được hiệu quả điều trị cao hơn.
5. Sử dụng lá bạc hà
Theo nghiê cứu, trong bạc hà chứa khá nhiều axit salicylic nên có tính kháng khuẩn và tiêu viêm khá cao. Nó sẽ giúp bạn bảo vệ làn da khỏi những tác nhân hình thành mụn lưng một cách hiệu quả.
Cách thực hiện:
- Rửa sạch lá bạc hà bằng nước muối pha loãng rồi để ráo nước.
- Cho lá bạc hà vào cối và giã nát chúng đế lấy phần tinh dầu bạc hà tiết ra.
- Dùng phần tinh dầu đó thoa lên vùng lưng bị mụn và kết hợp lấy phần lá bạc hà đã giã chà xát nhẹ nhàng trên da từ 10 - 15 phút.
- Sau đó tắm lại bằng nước lạnh.
- Thực hiện 2 lần/tuần để giảm mụn lưng và làm mờ đi những vết thâm.
Một số lưu ý khi điều trị mụn lưng
- Luôn tắm và làm sạch cơ thể thật kỹ sau khi sử dụng các cách điều trị mụn bằng sản phẩm tự nhiên.
- Thường xuyên tắm sạch sẽ và kỳ cọ phần lưng thật nhẹ nhàng để loại bỏ đi những vi khuẩn và bã nhờn bám trên lưng gây mụn. Không chà xát mạnh khi tắm sẽ làm da bị tổn thương khiến mụn bị lây lan.
- Tẩy tế bào chết cho lưng từ 2 - 3 lần/tuần và không mặc những trang phục quá bó sát hoặc chật chội.
- Sử dụng sữa tắm phù hợp với tình trạng da. Nên chọn những loại sữa tắm có tính axit nhẹ, không hương liệu hoặc cồn để kết hợp với việc điều trị mụn lưng.
Việc điều trị mụn lưng không phải sẽ quá dễ dàng và nhanh chóng. Vì vậy, bạn nên kiên nhẫn và lựa chọn một phương pháp điều trị phù hợp để cải thiện tình trạng mụn lưng.
---------------------------------------------------------------------------------------------------------
KOREA COSMETIC BY HÒA LÊ NGUYỄN KHÁNH
Hotline: 0933 750 121 - 0898 147 526
Địa chỉ: 380/52/8 Phạm Văn Chiêu, Phường 9, Gò Vấp, Hồ Chí Minh.
Email: hoalenguyenkhanh@gmail.com
Website: www.hoalenguyenkhanh.com
Fanpage: Hòa Lê Nguyễn Khánh Cosmetic & More










Xem thêm