Tại sao đánh răng thường xuyên mà răng vẫn bị ố vàng? Nguyên nhân và cách khắc phục
Đánh răng chính là bước vệ sinh cá nhân cơ bản được nhiều người sử dụng. Ở một số người dù việc đánh răng vẫn diễn ra liên tục và đều đặn thế nhưng răng vẫn ố vàng. Vậy nguyên nhân tại sao? Làm sao để khắc phục tình trạng này? Cách nào để có một hàm răng trắng đẹp? Những câu hỏi này sẽ được giải đáp qua bài viết này
Tại sao đánh răng thường xuyên mà răng vẫn bị ố vàng? Nguyên nhân và cách khắc phục
Đánh răng chính là thói quen của mọi người thường sử dụng sau mỗi lần ngủ dậy hoặc sau mỗi bữa ăn. Tuy nhiên, một số trường hợp dù đánh răng với tần số đều đặn hằng ngày nhưng răng vẫn không trắng sáng mà xuất hiện tình trạng ố vàng. Vậy tại sao đánh răng thường xuyên mà răng vẫn bị ố vàng? Đâu chính là nguyên nhân và khắc phục như thế nào? Bài viết này sẽ giúp bạn lý giải những thắc mắc này.
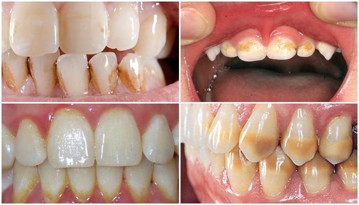
Răng ố vàng có thể hiện tình trạng bệnh răng miệng?
Hiện tượng răng ố vàng chính là những biểu hiện cơ bản của một số căn bệnh. Ố vàng ở răng khiến những men răng bị bào mòn dần đi dẫn đến một số bệnh răng miệng phổ biến như ê buốt răng, viêm chân răng, viêm lợi… Ngoài ra, nó còn phản ánh tình trạng của một số bệnh lý liên quan đến hô hấp, bệnh đái tháo đường và tim mạch.
Ố vàng trên răng sẽ làm răng bạn xấu đi và sẽ khiến bạn mất tự tin khi cười và nói chuyện với mọi người xung quanh. Hiện tượng răng ố vàng sẽ đi kèm với hôi miệng, hơi thở có mùi và dẫn đến bệnh sâu răng rất dễ dàng.
Nguyên nhân khiến răng bị ố vàng mặc dù đánh răng thường xuyên
- Hút quá nhiều thuốc lá
Hút thuốc lá chính là nguyên nhân làm răng bạn nhanh bị ố vàng gây ra vôi răng và những mảng bám trên răng. Trong thuốc lá có chứa thành phần nicotine và nhựa thuốc lá ảnh hưởng đến răng. Bạn có thể nhận biết được một vài dấu hiệu trên răng khi sử dụng quá nhiều thuốc lá cơ bản như: mảng bám vàng hoặc nâu trên răng hoặc lợi.
- Có thể do bẩm sinh hoặc di truyền
Một nhân tố khác khiến răng một số người bị ố vàng đó chính là yếu tố bẩm sinh hoặc di truyền. Họ từ nhỏ đã xuất hiện tình trạng vàng răng hoặc cấu tạo của men răng chưa đủ dày để che đi phần ngà răng.
- Do chịu một số tác dụng phụ của thuốc
Răng có thể bị ố vàng bởi một số tác dụng phụ của thuốc kháng sinh như Tetracycline, Doxycycline, Histamine, Albutero. Bên cạnh đó, việc sử dụng một số nước súc miệng không phù hợp chứa Minocycline cũng sẽ khiến răng bị ố vàng.
- Bị tác động bởi những thực phẩm
Việc sử dụng một số loại thực phẩm có màu sắc tối sẫm hoặc đậm với cường độ nhiều và liên tục sẽ khiến răng bạn nhanh ố vàng. Cà phê, trà, nước coca, rựu đỏ, quả mâm xôi… nếu dùng nhiều sẽ tác động đến răng làm răng bị vàng.
- Đánh răng quá nhanh và vội hoặc đánh răng quá lâu
Đánh răng quá nhanh và vội sẽ không loại bỏ được hết toàn bộ những thức ăn còn bám lại trên răng miệng. Những thức ăn còn bám lại dần bị vôi hóa tạo thành vôi răng khiến răng bị vàng ố.
Ngược lại, nếu bạn đánh răng quá lâu sẽ làm mai mòn phần men răng khiến răng bị yếu đi, vô cùng nhạy cảm và khiến răng nhanh chóng ngả màu vàng nhạt.
- Sử dụng bàn chải quá cứng
Bàn chải cũng đóng một vai trò quan trọng trong quá trình vệ sinh răng miệng. Sử dụng bàn chải quá cứng khi đánh răng sẽ khiến nướu bị tổn thương, gây mòn răng. Đồng thời lông bàn chải cứng sẽ không luồn sâu vào từng kẻ răng để chải sạch đi những thức ăn thừa còn bám trên răng. Những yếu tố này sẽ khiến răng nhanh chóng trở nên ố vàng.
- Bỏ qua việc vệ sinh lưỡi
Nhiều người thường bỏ qua công đoạn này thế nhưng việc vệ sinh lưỡi cũng giúp bạn tránh đi tình trạng ố vàng răng, Khi không vệ sinh lưỡi, những vi khuẩn tồn tại ở lưỡi sẽ có cơ hội tấn công vào răng khiến răng bị ố vàng.
- Đánh răng không đúng cách
Đánh răng không đúng cách cũng chính là nguyên nhân khiến răng bị ố vàng. Một vài người chỉ đánh răng theo chiều ngang của bàn chải nên không loại sạch được những vi khuẩn và thức ăn thừa còn bám trên răng. Từ đó dẫn đến tình trạng răng ố vàng và dễ bi sâu răng.
Cách khắc phục tình trạng ố vàng răng
Để khắc phục tình trạng ố vàng răng, bạn nên thay đổi những thói quen vệ sinh răng miệng và kết hợp với những phương pháp làm trắng răng bằng sản phẩm thiên nhiên.
- Thay đổi thói quen vệ sinh răng miệng
Bước đầu tiên để khắc phục tình trạng ố vàng răng chính là thay đổi thói quen vệ sinh răng miệng. Từ đánh răng 1 lần/ngày bạn nên tăng số lượng này nên 2 lần/ngày để làm trắng răng và giữ răng miệng sạch sẽ. Đánh răng sau khi ngủ dậy và trước khi đi ngủ để loại bỏ những vi khuẩn tấn công răng. Tuy nhiên không nên đánh răng quá nhiều lần trong ngày sẽ tổn thương nướu và tạo điều kiện để hình thành vi khuẩn ở tấn công nướu và răng.
Bên cạnh đó, bạn nên đánh răng theo góc nghiêng 90 độ của bàn chải. Khi chỉ chải răng một đường thẳng sẽ không loại bỏ sạch đi những thức ăn còn bám ở trong kẻ răng. Vì vậy, ngoài việc đánh răng theo góc nghiêng 90 độ bạn nên kết hợp đánh răng theo chiều kim đồng hồ và chiều dọc.
Không chọn những bàn chải quá cứng hoặc chải răng quá mạnh sẽ khiến răng và nướu bị tổn thương tạo điều kiện cho vi khuẩn tiếp tục hình thành. Ngoài ra, bạn nên kết hợp sử dụng chỉ nha khoa để loại bỏ đi những thức ăn dính sâu trong kẽ răng nơi bàn chải không chạm tới được.
- Làm trắng răng bằng sản phẩm thiên nhiên
Làm trắng sang bằng sản phẩm thiên nhiên bạn nên thực hiện phương pháp này trước khi đánh răng. Sau đó đánh răng lại thật sạch để có được hiệu quả. Một số sản phẩm thiên nhiên có thể tẩy trắng răng như:
- Vỏ chanh: Sử dụng vỏ chanh chà nhẹ lên răng rồi đánh răng lại thật sạch để loại bỏ tình trạng ố vàng răng. Vỏ chanh có tác dụng tẩy trắng răng một cách hữu hiệu. Bạn nên thực hiện phương pháp này 2 lần/ngày để răng trở nên sáng đẹp.
- Vỏ chuối: Tương tự như vỏ chanh, bạn chà nhẹ vỏ chuối lên răng trong 5 phút sau mỗi bữa ăn rồi đánh răng lại sạch để làm trắng răng. Vỏ chuối chứa nhiều vitamin D và hoạt chất giúp đánh bay đi những chất ố vàng bám trên răng. Với phương pháp này, bạn nên thực hiện 2 đến 3 lần/ngày.
- Cau: Bạn sử dụng cau khô cắt nhỏ thành 4 phần rồi chà xát nhẹ nhàng và thật đều lên những phần răng bị ố vàng. Cau sẽ loại bỏ đi những mảng bám vàng trên răng và giúp bạn có một hàm răng trắng sáng.
- Nước chanh muối: Phương pháp này bạn thực hiện bằng việc trộn nước cốt chanh với muối và ngậm trong khoảng 5 đến 7 phút. Lượng axit tự nhiên của chanh kết hợp với độ mặn của muối sẽ đánh bay đi những mảng bám ố vàng trên răng và giúp răng trắng sáng. Sau khi thực hiện xong phương pháp này bạn đánh răng lại thật sạch để giúp răng miệng chắc khỏe.
Bật mí sản phẩm giúp trắng răng
Ngoài ra, bạn cũng có thể tìm đến kem đánh răng mới để răng bạn trắng bóng và chắc khỏe hơn. Một loại kem khá được ưa chuộng chính là “kem đánh răng Median Dental IQ Toothpaste 93%”. Sản phẩm này có xuất sứ từ Hàn Quốc và đem đến một số công dụng tuyệt vời khi sử dụng. Kem đánh răng này đem đến những công dụng nổi bật như chống viêm nướu, viêm lợi, tẩy sạch cao răng và làm trắng răng. Với những ưu điểm nổi bật, kem đánh răng Median Dental sẽ là lựa chọn làm trắng răng hoàn hảo.
Xem thêm:
Kem đánh răng giúp trắng răng Median Dental IQ Toothpaste 93% 120g
Để có một hàm răng trắng sáng, khỏe đẹp bạn đừng quên bỏ qua việc tìm hiểu rõ nguyên nhân làm ố vàng răng và tìm ra cho mình một cách làm trăng răng phù hợp.
---------------------------------------------------------------------------------------------------------
KOREA COSMETIC BY HÒA LÊ NGUYỄN KHÁNH
Hotline: 0933 750 121 - 0898 147 526
Địa chỉ: 380/52/8 Phạm Văn Chiêu, Phường 9, Gò Vấp, Hồ Chí Minh.
Email: hoalenguyenkhanh@gmail.com
Website: www.hoalenguyenkhanh.com
Fanpage: Hòa Lê Nguyễn Khánh Cosmetic & More












Xem thêm